Cervical length assessments for the risk of preterm delivery
Posted by Professor Mike O’Connor AM
on 30 August 2021
)
Cervical Length Assessment
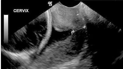
The median cervical length at 20 weeks is 42mm, the 1st centile is 23mm. There appears to be value in linking shortened cervical lengths with an increase in the risk of preterm delivery.Cervical lengths of 30mm (10th centile), 27mm (5th centile) and 22mm (2.5th centile) gave relative risks of preterm birth prior to 37 weeks of 3.8, 5.4, and 6.3, respectively, with even greater relative risk at earlier gestations If a transabdominal ultrasound is undertaken and the c...
The median cervical length at 20 weeks is 42mm, the 1st centile is 23mm. There appears to be value in linking shortened cervical lengths with an increase in the risk of preterm delivery.Cervical lengths of 30mm (10th centile), 27mm (5th centile) and 22mm (2.5th centile) gave relative risks of preterm birth prior to 37 weeks of 3.8, 5.4, and 6.3, respectively, with even greater relative risk at earlier gestations If a transabdominal ultrasound is undertaken and the c...
| Posted in:Obstetrcis |
Progesterone supplementation for IVF pregnancies and pregnancies at high risk for spontaneous preterm birth
Posted by Professor Mike O’Connor AM
on 30 August 2021
It will not have gone unnoticed by many of you that IVF patients in particular are being treated with progesterone vaginal pessaries as a means of enhancing the process of implantation.
Progesterone is necessary for successful implantation of the embryo. Luteal phase support is therefore a requirement for optimal outcome following egg collection and embryo transfer in an in-vitro fertilization (IVF) cycle It has been shown that ovarian stimulation during IVF treatment, particularly in cycles...
| Posted in:IVF |
Covid-19 Vaccination in Pregnancy
Posted by Professor Mike O’Connor AM
on 15 June 2021
)
The RANZCOG and ATAGI recommend that pregnant women are routinely offered Pfizer mRNA vaccine (Cominarty) at any stage of pregnancy. This is because the risk of severe outcomes from COVID-19 is significantly higher for pregnant women and their unborn baby. (9 June 2021)
High risk women include those who:
Are immunosuppressed
Recent bone marrow transplant
Graft versus host disease
Leukaemia, lymphoma,
Myelodysplastic syndrome
Chemotherapy or radiotherapy
O...
| Posted in:ObstetrcisOther |
Inherited Risks of Gynaecological Cancer
Posted by Professor Mike O’Connor AM
on 16 February 2021
)
Recently I saw a woman with a BRCA gene mutation who had recently had both breasts removed and was now being urged to have both ovaries removed, she was 39 years of age.
Understandably she was considerably anxious about the prospect of losing most physical vestiges of her femininity. She was keen to know how much risk she would incur of ovarian cancer if she deferred her bilateral oophorectomy until she reached 45 years of age.
Hereditary Breast and Ovarian Cancer Syndrome (HBOC).
The...
| Posted in:OvariesOther |
Doulas : Birth and Death
Posted by Professor Mike O’Connor AM
on 3 December 2020
)
Megan Markle, Duchess of Sussex, is reputed to have engaged a doula as a support person for the birth of Archie on 6 May 2019. This was not viewed with favour by a senior UK obstetrician, Professor Tim Draycott, who was concerned about the obstetric risks of a 37year-old mother in labour.
In recent times doulas offer their services for the antenatal, intrapartum, and postnatal care of women, mostly from the middle classes, who can afford the out of pocket expense involved. In the US, the ...
| Posted in:MedicolegalObstetrcis |








